Going to space changes a person. We've known that ever since NASA and the former Soviet Union started sending people to space back in the mid-20th Century. Not only does that trip affect an astronaut's outlook (just look what it did to William Shatner) but it changes their body. Space physicians continually study astronauts to understand just what happens to them in space. Their latest target? Astronaut brains.
Humans are, as a character in the series Star Trek: The Next Generation once said, "bags of mostly water". We evolved on a planet with gravity, and our "water bags" reflect that. The fluids in our bodies flow under the influence of gravity. Once a person goes into space, though, the normal flow of fluids changes. This is particularly true for the cerebrospinal fluids and their spaces in astronaut brain brains. According to Dr. Juan Piantino of the Oregon Health and Science University, long-duration space flights alters the fluid-filled spaces along brain veins and arteries. They wanted to understand the implications.
Scanning Astronaut Brains
Piantino and a group of researchers just published a study called "Longitudinal MRI-visible perivascular (PVS) changes with long-duration spaceflight". In it, they discuss obvious brain changes in astronauts. "These findings have important implications as we continue space exploration," said Piantino, in a press release statement. "It also forces you to think about some basic fundamental questions of science and how life evolved here on Earth."
The idea here is to understand what happens to a physical trait that evolved in a gravity well when it goes to space. "We all adapted to use gravity in our favor," Piantino said. "Nature didn't put our brains in our feet—it put them high up. Once you remove gravity from the equation, what does that do to human physiology?"
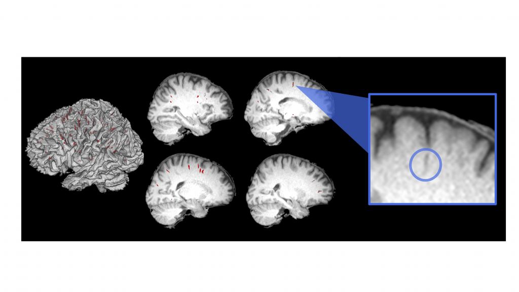
Researchers decided to find out by measuring the perivascular spaces in astronaut brains. These are where cerebrospinal fluid flows in the brain. They are part of a system-wide brain cleansing that occurs during sleep called the "glymphatic system". Among other things, it clears metabolic proteins that would otherwise build up in the brain. Scientists say this system seems to perform optimally during deep sleep. So, the question was: how would it change in space?
Studying the Scans
Piantino and his collaborators examined magnetic resonance imaging scans of 15 astronauts both before and after their extended stays on the International Space Station. Each space traveler had several scans: one before launch and one after they got back home on Earth. Then, they had additional scans one, three, and six months after their missions. All those MRIs got compared to the brains of people who had never been to space.
The differences were pretty interesting, and a bit unexpected in one way. The brains of first-time space travelers showed increases in the perivascular spaces. The brains of old-timers (who had been to space before) didn't show that kind of change. It's fairly clear to Piantino and the team that the experienced space fliers had somehow adapted. They aren't quite sure why. So, that will take further study.
Despite these changes, astronauts in the study had no problems with balance or visual memories. They didn't show any other neurological deficits due to the changes in their perivascular spaces. That provides some interesting research avenues for doctors mapping how the body responds to space.
Earthbound Patients Will Benefit, Eventually
This study has some interesting implications for Earth-bound patients suffering from specific kinds of brain disorders. Hydrocephalus is one, and there are others that stem from problems in the circulation of cerebrospinal fluid. Also, people with dementia and other memory disorders may benefit from doctors learning how the glymphatic system responds in space. This study opens up a whole new avenue of research in Earth-bound neurological studies. In addition, it may have implications for long-term spaceflights and the health and safety of Marsnauts on lengthy journeys.
For more information:
Longitudinal MRI-visible perivascular space (PVS) changes with long-duration spaceflight", S cientific Reports, May 5, 2022
New study reveals the effect of extended space flight on astronauts' brains
Universe Today

