Some lucky astronomers get to work with some of the rarest material in the world. Real Martian meteorites are extraordinarily rare, but are invaluable in terms of understanding Martian geology. Now, one of the most famous meteorites, nicknamed " Black Beauty ", is helping shed light on a much more speculative area of science: Martian biology.
Formally known as Northwest Africa 7034, Black Beauty is one of the most visually stunning of all Martian meteorites. It is composed of a type of volcanic breccia, which is a set of rock fragments that coalesced together into a fine-grained pattern. Researchers have used it to study everything from water content on Mars to its geological history.
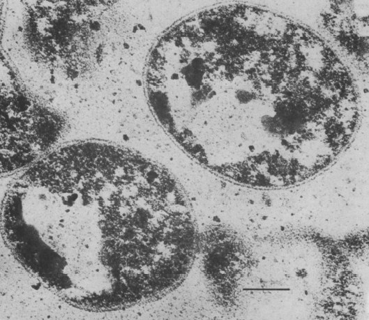
Most of this research has been done non-destructively. However, in this latest round a team of researchers from the University of Vienna did need to destructively test a part of the meteorite by chipping off a piece and crushing it into extremely fine grains. They then did something that has never been done before: introduced Earth-based bacteria onto a purely Martian substrate.
The bacteria they introduced, known as Metallosphaera sedula, is a type of bacteria called a thermoacidophile chemolithotroph. Simply put, it favors high temperature, highly acidic environments, very similar to the environment Black Beauty was thought to be formed in on Mars approximately 4.4 billion years ago. It also likes to eat rocks.
When the scientists introduced M. sedula to a substrate made of the grains of the meteorite, they took note how the bacteria took the components that made up the meteorite and, using biological activity, transformed them into usable compounds to grow itself on. Most intriguingly, the researchers also introduced M. sedulla into other mineralogical substrates with only slightly more mundane origins - a series of minerals from Earth itself as well as a more standard chondritic meteorite.
In a word, the results in the outputs of the bacteria growth on the three different substrates were "distinguishable". Meaning that M. sedula enacted a distinct biochemical change to the fragments of Black Beauty that it did not to the two other test substrates. Given the environmental conditions on Mars around the formation of Black Beauty, it is not completely out of the question that a bacteria similar to M. sedula might have been present on the red planet, and been able to enact the same sort of biotransformation to the rock that existed on the Martian surface at that time.
UT Video discussing our potential life on Mars.Intriguingly, scientists would still be able to see the left over biosignatures of any such biotransformation on modern day Mars. With the Perseverance rover recently landing, and another rover to come from China in the near future, more modern day equipment will begin scouring the Martian surface than ever before. One of the tell-tale signs that equipment will be searching for is biosignatures. The research done by the team at the University of Vienna will help inform that search, even if it had to sacrifice a small part of one of the world's most spectacular meteorites.
Learn More:
University of Vienna - Life of a pure Martian design
UT - Is there life on Mars?
Nature Communications - Chemolithography on the Noachian Martian breccia NWA 7034 via experimental microbial biotransformation
Lead Image:
Image of M. sedula interacting with the fragments of Black Beauty. Credit: Tetyana Milojevic
Universe Today

