Asteroid Bennu Is Like A Time Capsule From The Early Solar System

A mosaic image of asteroid Bennu made from images of the asteroid captured by NASA's OSIRIS-REx spacecraft. Image Credit: NASA/Goddard/University of Arizona
A mosaic image of asteroid Bennu made from images of the asteroid captured by NASA's OSIRIS-REx spacecraft. Image Credit: NASA/Goddard/University of Arizona

The ambitious mission to retrieve samples from asteroid Bennu and return them to Earth is paying off. Just as scientists had hoped, the asteroid is revealing details about the early days in our Solar System. More than just a simple space rock, research is revealing that Bennu contains not only material from the Solar System, but material from beyond our system.

Bennu follows an orbit that brings it close to Earth every six years. That means it's classified as a near-Earth asteroid (NEA) and a potentially hazardous object (PHO). When NASA was planning the OSIRIS-REx mission that visited Bennu and returned the sample, it was the result of a vigorous scientific and engineering evaluation of candidate asteroids. Since Bennu is both close to Earth and a primitive carbonaceous asteroid, NASA settled on it as the target. The asteroid is both large enough to orbit and collect a sample from, and spectroscopic analysis of its surface showed it contained things scientists wanted to study, like carbon-rich materials and hydrated minerals.

Now, nearly nine years after OSIRIS-Rex was launched, samples are being studied in laboratories around the world.

Three newly-published papers show that Bennu is formed from materials both within and outside of our Solar System. They also show how some of the asteroid's material has been altered by exposure to space weather and interactions with water.

Jessica Barnes, associate professor at the University of Arizona's Lunar and Planetary Laboratory is a co-lead author on one of the publications. "This is work you just can't do with telescopes," Barnes said in a press release. "It's super exciting that we're finally able to say these things about an asteroid that we've been dreaming of going to for so long and eventually brought back samples from."

Bennu's parent body is part of the Polana family of asteroids. A history of collisions created Bennu, and its original parent contained material from our Solar System and beyond. As a result, so does Bennu, with material from close to the Sun, from a great distance from the Sun, and even from other stars. The parent body was created out of this mixture of material more than 4 billion years ago, as the Solar System itself came into being. The paper "The variety and origin of materials accreted by Bennu’s parent asteroid" explains this in detail.

"Bennu's parent asteroid may have formed in the outer parts of the solar system, possibly beyond the giant planets, Jupiter and Saturn," Barnes said. "We think this parent body was struck by an incoming asteroid and smashed apart. Then the fragments re-assembled and this might have repeated several times."

"The first bodies to form in the Solar System acquired their materials from stars, the presolar molecular cloud and the protoplanetary disk," the authors write. "Asteroids that have not undergone planetary differentiation retain evidence of these primary accreted materials."

The samples from Bennu show that much of the surface material has been altered by hydrothermal interactions that have changed their isotopic compositions, chemistry, and bulk mineralogy. But not of the samples have been altered. "We show that some primary accreted materials escaped the extensive aqueous alteration that occurred on the parent asteroid, including presolar grains from ancient stars, organic matter from the outer Solar System or molecular cloud, refractory solids that formed close to the Sun, and dust enriched in neutron-rich Ti isotopes," the paper states.

These panels show the bulk titanium and oxygen isotopic compositions of Bennu samples in relation to other astromaterials. Panel a plots epsilon 50-titanium against oxygen isotopic composition. This comparison is important because both titanium and oxygen isotopes are used to trace the formation regions and processes in the early Solar System. Panel b shows the relationship between two titanium isotope signatures - bulk epsilon 50-Ti versus epsilon 46-Ti. This plot helps distinguish between different nucleosynthetic sources and processes that affected the titanium isotope composition. The symbols at the center of ovals represent the centre of the range of values. The sizes of the ovals represent the range of data for each material. Image Credit: Barnes et al. 2025. NatAstr *These panels show the bulk titanium and oxygen isotopic compositions of Bennu samples in relation to other astromaterials. Panel a plots epsilon 50-titanium against oxygen isotopic composition. This comparison is important because both titanium and oxygen isotopes are used to trace the formation regions and processes in the early Solar System. Panel b shows the relationship between two titanium isotope signatures - bulk epsilon 50-Ti versus epsilon 46-Ti. This plot helps distinguish between different nucleosynthetic sources and processes that affected the titanium isotope composition. The symbols at the center of ovals represent the centre of the range of values. The sizes of the ovals represent the range of data for each material. Image Credit: Barnes et al. 2025. NatAstr*

Perhaps the most interesting result from these samples is the abundance of material from outside our Solar System. This ancient stardust predates the Solar System, and is identified by its isotopic composition, which sets it apart from our Solar System. So Bennu's recipe is more complex than thought.

"Those are pieces of stardust from other stars that are long dead, and these pieces were incorporated into the cloud of gas and dust from which our solar system formed," Barnes said. "In addition, we found organic material that's highly anomalous in their isotopes and that was probably formed in interstellar space, and we have solids that formed closer to the sun, and for the first time, we show that all these materials are present in Bennu."

While some of Bennu's material is unaltered by space weathering, chemistry, and even collisions, much of it has been altered. The second paper, "Mineralogical evidence for hydrothermal alteration of Bennu samples," shows that most of Bennu's material has been altered by hydrothermal processes. "The mineralogical evidence indicates alteration of accreted minerals by a fluid that evolved with time, leading to etching, dissolution and reprecipitation," the authors write.

"We think that Bennu's parent asteroid accreted a lot of icy material from the outer solar system, which melted over time," said Tom Zega, director of the Kuiper-Arizona Laboratory who co-led the study.

Remnant heat from Bennu's formation, or heat from subsequent impacts, could've melted ice in the asteroid. The resulting water could've interacted with silicate minerals, creating the hydrothermal reactions that changed the Bennu samples.

"Now you have a liquid in contact with a solid and heat – everything you need to start doing chemistry," Zega said. "The water reacted with the minerals and formed what we see today: samples in which 80% of minerals contain water in their interior, created billions of years ago when the solar system was still forming."

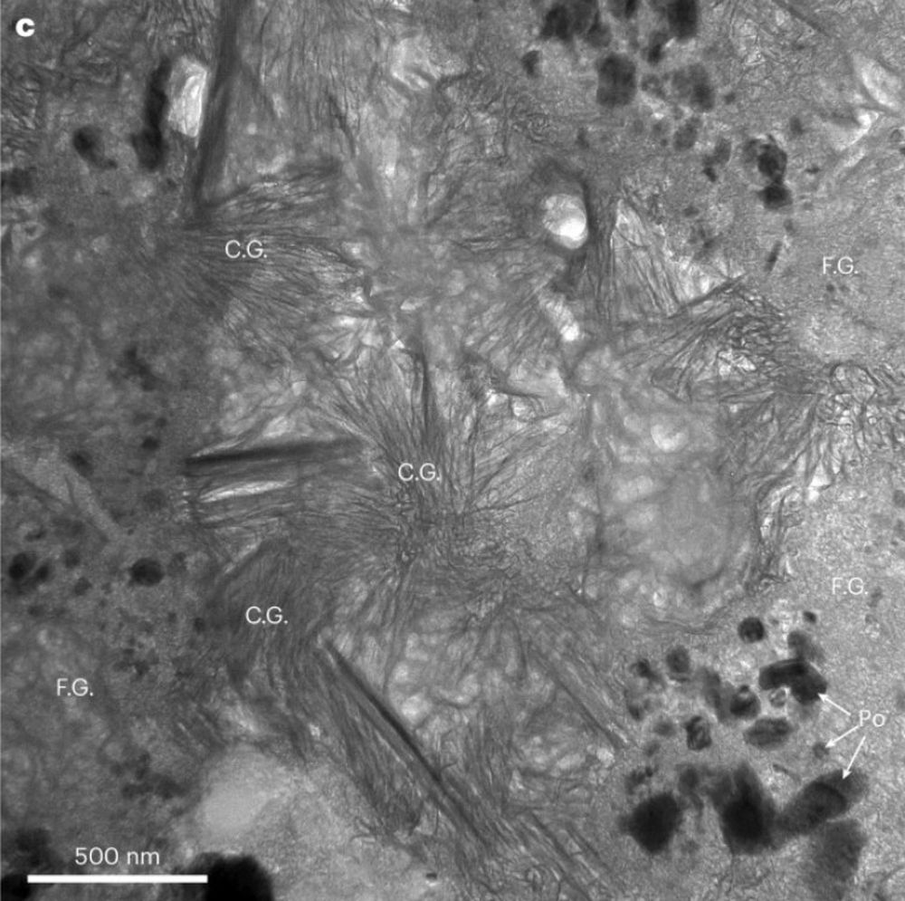
This is an electron microscope image of a Bennu sample. It shows both coarse-grained (CG) and fine-grained (FG) hydrated sheet silicates that formed in the presence of water. The water came from ice in Bennu that was melted by remnant heat or heat from collisions. Image Credit: Zega et al. 2025. NatGeo *This is an electron microscope image of a Bennu sample. It shows both coarse-grained (CG) and fine-grained (FG) hydrated sheet silicates that formed in the presence of water. The water came from ice in Bennu that was melted by remnant heat or heat from collisions. Image Credit: Zega et al. 2025. NatGeo*

The third paper, "Space weathering effects in Bennu asteroid samples," shows how micrometeorite impacts have altered Bennu during its long life. "Space weathering processes, dominated by micrometeoroid impacts and solar irradiation, modify the mineralogy and chemistry of exposed surfaces," the authors explain. "Comparison of Bennu samples with those collected from the asteroids Ryugu and Itokawa suggest that micrometeoroid impacts might play a more active and rapid role in the space weathering of asteroidal surfaces than was initially suggested, particularly for carbonaceous bodies."

Some of the particles in the sample bear the imprints of micrometeoroid impacts. These impacts, along with the solar wind, are considered space weathering. With no atmosphere to prevent these tiny impacts, the surface of Bennu has been constantly bombarded. The study shows that space weathering is happening a lot faster than previously thought.

These panels are scanning electron microscope images of one of the Bennu samples. a shows microcraters in yellow, b shows a typical microcrater, and c shows an impact melt deposit. Image Credit: Keller et al. 2025. NatGeo *These panels are scanning electron microscope images of one of the Bennu samples. a shows microcraters in yellow, b shows a typical microcrater, and c shows an impact melt deposit. Image Credit: Keller et al. 2025. NatGeo*

"Melt deposits occur in <0.5% of Itokawa samples, 2% of Ryugu particles and 20% of Bennu particles (although analyses of additional material may improve these statistics)," the paper states. "Together, these results suggest that micrometeoroid impacts play a more important role in the space weathering of asteroidal surfaces than was suggested from early observations of asteroidal returned samples."

Most asteroid fragments that reach Earth are burned up as they plunge through the atmosphere. But Earth's atmosphere is unrelenting, and even meteorites that survive the plunge are exposed to it, and can be altered quickly. That's why asteroid sample return missions are so important to understanding the Solar System.

"Those that do make it to the ground can react with Earth’s atmosphere, particularly if the meteorite is not recovered quickly after it falls," Zega said, "which is why sample return missions such as OSIRIS-REx are critical."

Evan Gough

Evan Gough

Evan Gough is a science-loving guy with no formal education who loves Earth, forests, hiking, and heavy music. He's guided by Carl Sagan's quote: "Understanding is a kind of ecstasy."